小児予防矯正
Pediatric Orthodontics

小児予防矯正とは
お子さんの歯ならびや噛み合わせが変わってきたと気になったことはありませんか? 幼稚園のころは歯ならびが良かったのに小学生になったころから様子が変わってくる。 同じことを感じたことはないでしょうか?
6歳ごろから乳歯が抜けて、入れかわりで大きな永久歯が生えてくる。これが小学校高学年のころまで続きます。この時期に「あごの成長」が足りないと、大きな永久歯が収容できず、歯ならびが乱れて「歯列不正」の状態となり、噛みあわせも悪くなります。そのまま成人すると顎骨の成長がとまり歯列不正の状態で固定化されます。成人後から矯正治療を進める場合、健康な歯を抜いて本数を減らして歯ならびを整える方法(抜歯矯正)で改善を行うことが多くなります。
当院では、この成長期の子どもの「あごの成長」をサポートしながら、健康な歯を抜くことなく大きな永久歯がきれいに並ぶスペースを確保して、歯並びや噛み合わせの問題を早い段階で予防することが可能です。
歯並びが悪いことで
考えられる将来のリスク
- 虫歯・歯周病の
リスクが高まる - 歯が重なっていたり、隙間が多いと歯みがきが難しくなります。磨き残しが増え、プラーク(細菌)が溜まりやすくなります。プラークは虫歯・歯周病を引き起こします。
- 顎関節症や咀嚼障害の
原因になる - 不正咬合により顎に負担がかかりやすくなり、痛みや開閉障害などを引き起こすことがあります。
- 滑舌や発音に
悪影響を及ぼす - 特定の不正咬合では「サ行」「タ行」などが発音しにくくなることがあります。
- 全身疾患のリスクが高まる
- 口は肺に空気を取り込む「気道」の入り口部分にあります。歯ならびが乱れてきゅうくつな状態にあると舌は喉(のど)の奥に追いやられて気道が狭くなります。このため将来的に「睡眠時無呼吸症」が起こりやすくなります。 また歯ならびの乱れから、かみ合わせが悪化すると頭から首にいたる部分の筋肉のバランスが変化します。筋肉のバランス変化は首の部分をとおる自律神経を圧迫して体調に悪影響を及ぼすという説があります。
- 見た目のコンプレックスに
よる心理的ストレス - 歯並びの悪さが原因で人前で笑えない、口元を隠す、会話を避けるなどの傾向が生じることがあります。
早めに始めることのメリット
6歳ごろから始まる乳歯から永久歯への生えかわりが続く時期は、身長が伸びる「骨の成長期」でもあります。
骨の成長期だからこそできる治療として、顎骨の成長を促しながら、大きな永久歯がきれいに並んだ状態で収容されるようになってきます。スペース不足による歯列不正や噛み合わせのズレを未然に防ぐことができ、また治療期間を短縮できるケースも少なくありません。また、子どものうちに始めることで、骨の柔軟性が高く、痛みや違和感が少ない矯正治療が可能になります。
「気になるけどまだ早いかな?」と思ったときが、実はベストなタイミングかもしれません。まずはお気軽にご相談ください。
当院で取り扱いのある装置
床矯正
床矯正装置は、レジン床とワイヤーで構成された取り外しが可能な矯正装置です。主に上顎の永久歯が生える時期に使用します。装置内のスクリューの力で歯列を横方向に拡大して歯を動かし、また顎の骨を拡張的に成長させます。
Merit メリット
- 成人になってから抜歯をせずに矯正を終えられる可能性が高まる。
- 治療の痛みが少ない。
- 取り外しが出来るので、食事の際に困らない。
- 取り外しが出来るので、ブラッシングがしやすい。
Demerit デメリット
- 公的医療保険が適用されない自費診療。
- 混合歯列期6歳〜11歳くらいの子どもが対象。
- 装着時間が少ないと十分な治療効果が得られない。
3D装置
床矯正で顎の骨が成長したのち、この段階から固定式の矯正装置を使用します。
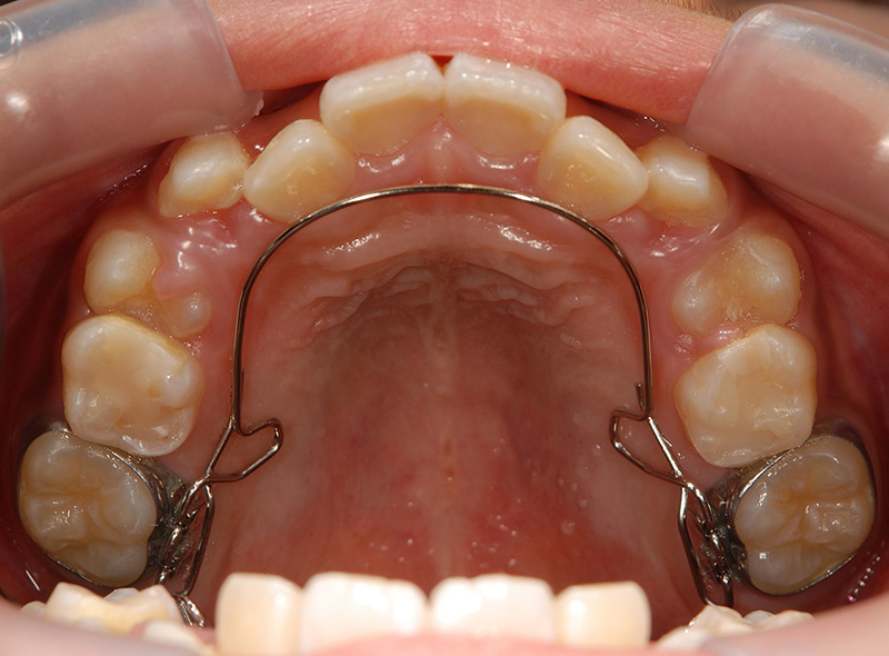
3Dリンガルアーチ
床矯正装置は、レジン床とワイヤーで構成された取り外しが可能な矯正装置です。主に上顎の永久歯が生える時期に使用します。装置内のスクリューの力で歯列を横方向に拡大して歯を動かし、また顎の骨を拡張的に成長させます。
3Dクワドヘリックス(上顎)
3Dクワドアクション(下顎)
上下の歯列の犬歯・小臼歯の部分で側方拡大させる、あるいは傾斜改善を行う装置です。この段階の治療で大きく歯列が広がり、お口の中で広い空間が確保されていきます。
3D装置(リンガルアーチ・
クワドヘリックスなど)の
注意点
装着初期は舌への違和感や発音のしにくさを感じることがありますが、次第に慣れていきます。装置の周囲は汚れが溜まりやすいため、丁寧な歯みがきと破損時の早めの対応が大切です。また、公的医療保険が適用されない自費診療となります。
マルチブラケット装置
歯列矯正の最終仕上げの段階で使用される装置です。個々の歯に小さな突起状の部品(ブラケットと呼ばれる維持装置)を接着して、そこに成形されたワイヤーを接続します。各歯の位置・角度を左右対称に整えます。また歯間部の空隙(すき間)がある場合にも修正ができます。前歯が突出している場合には角度を修正して引き込む治療も行えます。
Merit メリット
- 幅広い症例に対応している
- 取り外す手間がない
Demerit デメリット
- 公的医療保険が適用されない自費診療。
- ブラケットに食べ物が詰まりやすく、むし歯になりやすいためケアが重要になる
保定装置
歯列矯正の最終仕上げの段階で使用される装置です。個々の歯に小さな突起状の部品(ブラケットと呼ばれる維持装置)を接着して、そこに成形されたワイヤーを接続します。各歯の位置・角度を左右対称に整えます。また歯間部の空隙(すき間)がある場合にも修正ができます。前歯が突出している場合には角度を修正して引き込む治療も行えます。
料金について
-
小児予防矯正(床矯正+リンガルアーチ) ¥770,000
治療回数 月1回 治療期間5~10年
※装置準備の初期段階では、月1回以上来院いただく場合があります。
※調整料が月に一度3,300円発生します。
※費用・治療期間・回数は症例や使用する装置によって変動します。※料金はすべて税込みです。
治療の流れ
- Flow01
相談・カウンセリング

患者さんのお悩みや、希望の治療方法等をお伺いいたします。
- Flow02
検査

目視では見えない部分をしっかり診査するため、レントゲンやCTなどの精密検査を行います。
- Flow03
診断・治療計画の
ご説明
検査結果と患者さんの要望をもとに診断と治療計画をお伝えいたします。
- Flow04
矯正開始前の準備

矯正前に虫歯の治療やクリーニングが必要な場合は実施します。マウスピースの場合は型取りも行います。
- Flow05
装置の装着

実際に矯正装置を装着します。
- Flow06
定期通院

歯がきれいに動いているかなど、定期的に経過観察を行います。
- Flow07
完成

歯が動き終わったら矯正装置の装用は終了です。
- Flow08
保定・経過観察

終了後も通院していただき、後戻り等を確認します。また、一定期間保定装置の装用をしていただく可能性があります。
小児予防矯正で、
健康な未来を育てましょう
お子さんの歯並びや噛み合わせは、将来のお口の健康だけでなく、全身の健康や心の成長にも大きく関わります。小児予防矯正は、成長期ならではの柔軟な骨の特性を活かし、負担の少ない方法で理想的な歯並びへと導くことが可能です。早い段階から適切なケアを行うことで、将来的に大がかりな矯正治療が必要になる可能性を減らすことができるだけでなく、虫歯や歯周病の予防にもつながります。
まずはお気軽にご相談ください。お子さんの未来を、予防矯正でサポートいたします。
