すべての症例
インプラント
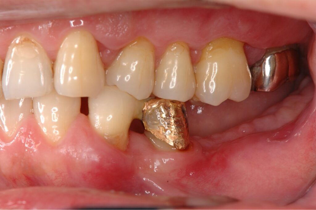
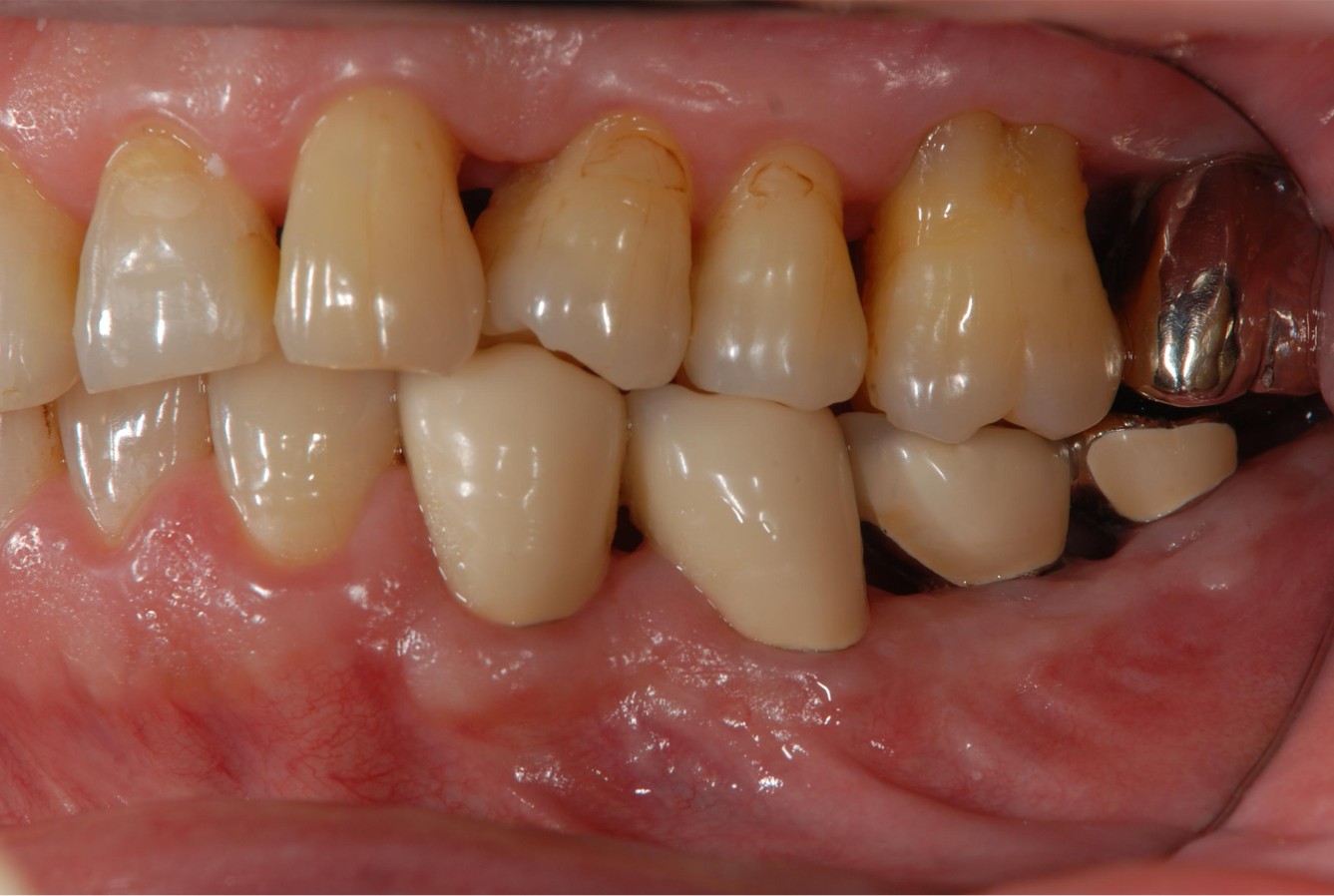
インプラント治療例 臼歯

Before

After
| 主訴 | 左下の奥歯が2本失われている。 |
|---|---|
| 治療期間・回数 | 半年~1年・5~10回 |
| 治療方法 | インプラントが骨と結合した後、かぶせ物を装着。 |
| 費用 | ¥660,000 |
| デメリット・注意点 | 自費診療になるため、保険診療に比べ費用がかかる。 外科手術が必要になるため、患者さんに体力的な負担がかかる。 |
インプラント
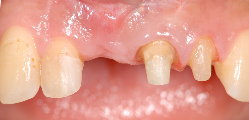
インプラント治療例 前歯

Before

After
| 主訴 | 前歯が1本失われている。 |
|---|---|
| 治療期間・回数 | 半年~1年:5~10回 |
| 治療方法 | インプラントを入れて骨と結合した後、かぶせ物を装着。 |
| 費用 | ¥330,000 |
| デメリット・注意点 | 自費診療になるため、保険診療に比べ費用がかかる。 外科手術が必要になるため、患者さんに体力的な負担がかかる。 |
